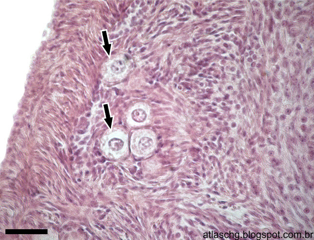
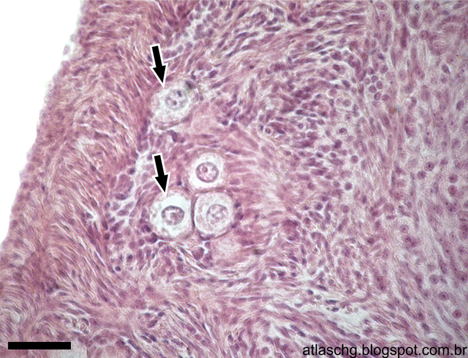
Corte de ovário. Folículos primordiais (setas), ampliados, situados na periferia do ovário. Coloração: Hematoxilina e Eosina (HE). Barra = 40µm.
Corte de ovário. Folículo primário multilaminar em detalhe. Coloração: Hematoxilina e Eosina (HE). Barra = 40µm.
Corte de ovário. Folículos em crescimento (fc) em detalhe. Coloração: Azul de toluidina-borato de sódio. Barra = 40µm.





